मुख्यमंत्री चौहान ने की अनलॉक की स्थिति पर चर्चा
भोपाल : मुख्यमंत्री श्री शिवराज सिंह चौहान ने मंत्रालय में मंत्री-समूह के साथ प्रदेश में कोरोना कर्फ्यू से अनलॉक की स्थिति पर चर्चा की। उल्लेखनीय है कि प्रदेश में कोरोना संक्रमण के नियंत्रण और प्रबंधन के अन्तर्गत एक जून से अनलॉक की प्रक्रिया आरंभ की गई है। मंत्रालय में संपन्न...
Published on 01/06/2021 7:00 PM
कोविड से बचाव के तरीकों पर विद्यार्थी चलाएँ जन-जागरण अभियान : मुख्यमंत्री चौहान
भोपाल : मुख्यमंत्री श्री शिवराज सिंह चौहान ने कहा है कि मंत्री-मंडल के सदस्यों की कड़ी मेहनत और टीम वर्क के परिणामस्वरूप ही प्रदेश में कोरोना नियंत्रण में आया है। अब हम सुविधाजनक स्थिति में हैं। इसी का परिणाम है कि कल 1078 पॉजिटिव केस आए, पॉजिटिविटी रेट 1.5 प्रतिशत...
Published on 01/06/2021 6:45 PM
शिक्षा को विद्यार्थी के लिये उपयोगी बनाने में आधुनिक तकनीक का करें प्रयोग : राज्यपाल पटेल
भोपाल : राज्यपाल श्रीमती आनंदीबेन पटेल ने कहा है कि कोविड-19 महामारी के कारण आज हमारे समक्ष अनगिनत चुनौतियाँ हैं, लेकिन इसमें अवसर भी हैं। आवश्यकता, स्वमूल्यांकन, स्पष्ट कार्य योजनाओं एवं दृढ़ संकल्प के साथ चुनौतियों का निदान करते हुए छात्रों को गुणवत्ता पूर्ण शिक्षा प्रदान करने की है। उन्होंने...
Published on 01/06/2021 6:30 PM
उज्जैन में महज सप्ताह भर में प्रिंटिंग और पैकेजिंग का काम करने वाले उद्योगपति पिता पुत्र की मौत
उज्जैन में एक बार फिर एक ही परिवार पर कोरोना कहर बनकर टूटा है। जिसमें महज सप्ताह भर में पिता पुत्र दोनों की कोरोना से मौत हो गई। यह विपदा उज्जैन के शाह परिवार पर उस वक्त आई है जब कोरोना संक्रमितों का आंकड़ा लगातर कम हो रहा है और...
Published on 01/06/2021 6:05 PM
नाइट कर्फ्यू 8 बजे से शुरू होगा, शराब दुकानें 11:30 बजे तक खुलेंगी, कलेक्टर बोले- नाइट कर्फ्यू में बाहर निकले तो होगी कार्रवाई
मध्य प्रदेश में संक्रमण की दर कम होने के साथ ही सरकार ने अनलॉक की प्रक्रिया भी शुरू कर दी है। इसी कड़ी में भोपाल को भी शर्तों के साथ अनलॉक किया जा रहा है। भोपाल में 15 जून तक रात 8 बजे से सुबह 6 बजे तक नाइट कर्फ्यू...
Published on 01/06/2021 5:52 PM
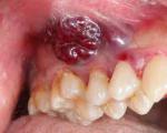
दो बच्चों के साथ 15 साल से मुंह के कैंसर को पाल रही आदिवासी महिला
दो बच्चों के साथ 15 साल से मुंह के कैंसर को पाल रही आदिवासी महिलाबालाघाट जिले के वनांचल क्षेत्रों में बसने वाली आदिवासी जनता अपनी दुर्दशा के अलावा कई घातक बीमारियों से भी जूझ रही है। जिले की बिरसा तहसील की मछुरदा पंचायत के अन्तर्गत आने वाले वन बाहुल्य ग्राम...
Published on 01/06/2021 2:20 PM
ग्रामीणों को दो किमी दूर से लाना पड रहा है पानी
ग्रामीणों को दो किमी दूर से लाना पड रहा है पानीश्योपुर जिले की विजयपुर तहसील व ब्लाॅक मुख्यालय से सीधे दो मिमी तथा मेन रोड से तीन किमी दूरी पर बसे ग्राम लाडपुरा में पीने के पानी के साथ नहाने और मवेशियों के उपयोग के लिये भी पानी की भारी...
Published on 01/06/2021 2:16 PM
दिव्यांगों की एंट्री लाॅक.... टैक्स जमा करना था, इसलिये चढना पडीं सीढियां
भोपाल शहर के शाहपुरा सी-सेक्टर स्थित वार्ड नं. 51 के कार्यालय भवन (वार्ड आॅफिस) के प्रवेश द्वार में दिव्यांगों की आवाजाही के लिये एक रैम्प तो बना हुआ है, लेकिन उसपर ताला लटका हुआ है, इसके चलते यहां पहुंचने वाले दिव्यांगजनों को सीढियां चढकर जाना मुश्किल भरा बना हुआ है।...
Published on 01/06/2021 2:13 PM
भोपाल किराना, सब्जी और दूध की दुकानें रात 8 बजे तक, होटल-रेस्टोरेंट से सिर्फ टेक होम डिलीवरी
भोपाल राज्य सरकार ने भोपाल को 1 जून से अनलॉक करने के आदेश जारी कर दिए हैं। जिला क्राइसिस मैनेजमेंट कमेटियाें ने भी बैठक कर निर्णय ले लिया है। इसके अनुसार कलेक्टर अविनाश लवानिया ने 15 जून तक के लिए अनलॉक के आदेश जारी किए हैं। इसके तहत भोपाल में...
Published on 01/06/2021 12:04 PM
इंदौर आज से किराना दुकानें दाेपहर 12 बजे तक ही खुलेंगी, शादी की मंजूरी नहीं, मंदिर-मस्जिद बंद रहेंगे;
इंदौर में कोरोना की साप्ताहिक संक्रमण दर 5% से अधिक रहने की वजह से 1 जून से बहुत अधिक रियायत नहीं मिली है। क्राइसिस मैनेजमेंट कमेटी ने तय किया है कि चरणबद्ध तरीके से ही इंदौर को अनलॉक किया जाए। किराना दुकान सप्ताह में 5 दिन सोमवार से शुक्रवार दोपहर...
Published on 01/06/2021 11:52 AM





